Skip Menu
Continue
6555 N. Wickham Rd, Suite 106, Melbourne, FL 32940
(321) 430-3976
Logo
  • Home
  • About Us
    • Our Office
    • New Patients
    • Smile Gallery
    • Dental Videos
    • Testimonials
  • Meet Dr. Torras
    • Alfredo Torras, DDS
  • Services
      • Cosmetic Dentistry
      • Crowns & Caps
      • Dental Bridges
      • Dental Fillings
      • Dentures
      • Emergency Treatment
      • Extractions
      • Night Guards
      • Oral Cancer Screening
      • Pediatric Dentistry
      • Periodontal Treatment
      • Root Canals
      • Sleep Apnea
      • Snoring Appliances
      • Sports Mouthguards
      • Teeth Whitening
      • TMJ Disorders
      • Veneers
    • View All
  • Dental Health
  • Discount Plan
  • Billing
  • Contact
    • Contact Us
    • Request Appointment

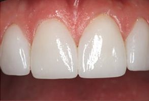
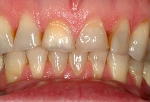
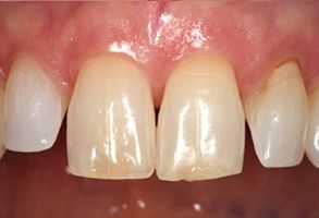
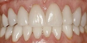
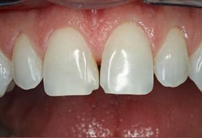
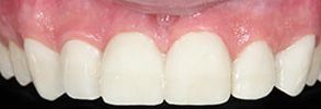
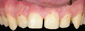
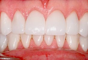
Smile Gallery